
Facettes en porcelaine
La perfection à long terme
durable !
Vos dents sont-elles tachées, ébréchées, usées ou inégales? Avez-vous toujours rêvé d’avoir un sourire parfait?
Les facettes sont une solution rapide et efficace pour cela!
Facettes en porcelaine sur mesure à Pointe-Claire
Les facettes dentaires sont des coquilles très minces en porcelaine très solide qui sont collées à la surface antérieure de vos dents pour créer une nouvelle apparence superbe et naturelle.
Les facettes en porcelaine sont légères et peuvent transformer complètement votre sourire. Elles constituent une excellente solution à long terme pour les patients à la recherche de multiples améliorations esthétiques, sans avoir à subir plusieurs traitements différents.
Vous pouvez envisager cette option de dentisterie esthétique si vous faites face à l’un ou plusieurs des problèmes suivants :
- décoloration causée par un traitement de canal ou de gros plombages de résine;
- taches dues à la prise de certains médicaments ou à une utilisation excessive de fluorure;
- dents usées, ébréchées, cassées, mal alignées, inégales, de forme irrégulière ou avec de grands écarts entre elles.
Parfois, la plus petite chose peut faire la plus grande différence en matière d’apparence et d’estime de soi. Les facettes sont d’excellentes options pour améliorer l’aspect de vos dents.
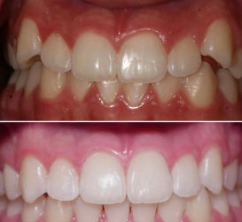
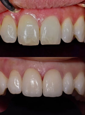
Facettes avant et après



Facettes en porcelaine par le Dr Mauricio Galvis,
Quelle est la procédure à suivre pour obtenir des facettes en porcelaine ?
- Consultation en cabinet
Nous débutons le processus par une consultation avec le Dr Mauricio Galvis, dentiste à Pointe-Claire QC, afin de déterminer si les facettes en porcelaine représentent la bonne option pour vous. Le Dr Galvis prendra également le temps de comprendre vos buts, objectifs et ce que vous aimez et aimez moins à propos de votre sourire.
- Première visite
Les facettes en porcelaine nécessitent deux visites à notre clinique.
Lors de la première intervention, une anesthésie locale peut être nécessaire. Le dentiste enlèvera une fine couche d’émail de vos dents afin d’assurer un espace approprié pour les nouvelles facettes, de manière à ce que vos dents aient un aspect naturel. Ensuite, des empreintes des dents préparées seront prises afin de réaliser le moule qui servira à créer vos facettes en porcelaine.
Les empreintes sont envoyées à un laboratoire spécialisé où vos facettes sur mesure seront créées. Jusqu’à ce que les facettes définitives soient prêtes, des facettes temporaires seront placées sur les dents qui ont été préparées. Vous devrez faire très attention car les facettes temporaires sont fragiles.
- Deuxième visite
Lors de votre deuxième visite, nous retirerons les facettes temporaires et appliquerons un produit chimique doux sur vos dents pour les rendre un peu rugueuses, ce qui facilitera l’adhérence des facettes. Finalement, nous utiliserons un ciment à base de résine composite pour coller les facettes en porcelaine sur chaque dent individuellement.

Prendre soin de vos facettes
En maintenant une hygiène bucco-dentaire stricte au quotidien, en se soumettant à des nettoyages et à des examens dentaires professionnels des nettoyages et des examens dentaires professionnels régulièrement et en assurant un entretien adéquat, vos facettes en porcelaine peuvent durer vingt ans ou plus.
Bien que les facettes en porcelaine soient très résistantes, elles ne sont pas indestructibles. Vous devez éviter les aliments durs et collants et les protéger en portant une garde de nuit si vous grincez des dents pendant votre sommeil.
Les facettes en porcelaine résistent aux taches, mais nous vous recommandons d’être prudent quant à la consommation d’aliments et de boissons connus pour altérer la couleur des dents, tels que le thé, le café et le vin rouge.