BRACES DAMON SYSTEM
R
Get your best smile faster with braces without elastic or metal ties at
Pointe-Claire dental
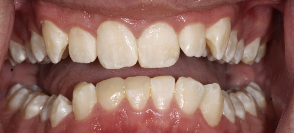
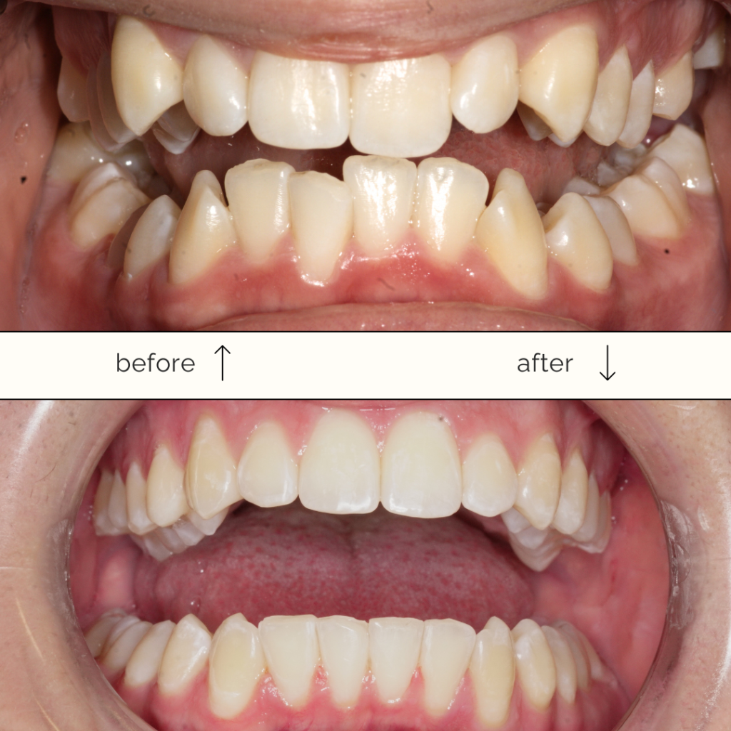
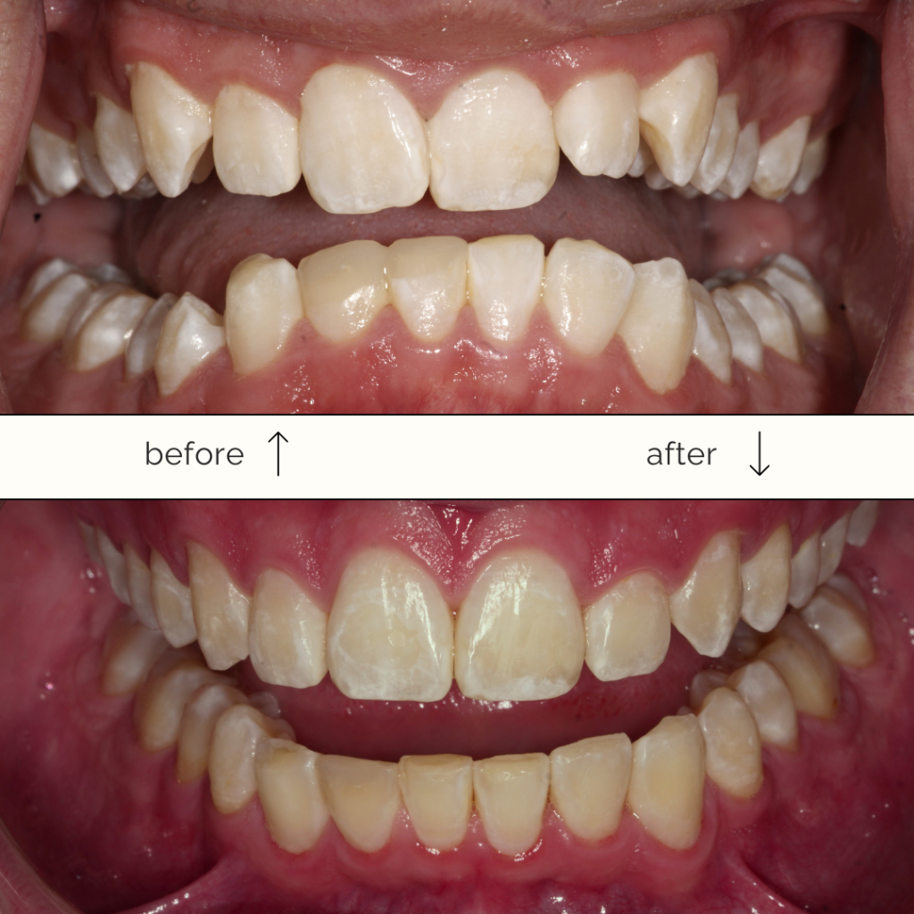
Braces offer an effective solution for correcting misaligned teeth and bite issues, giving you lasting results and a healthier smile.
Orthodontics on the West Island
At Pointe-Claire dental we are pleased to offer our patients the Damon System braces. A self-ligating system that removes the need for elastic or metal ties to hold wires in place eliminating also the need for frequent adjustments and tightening to shift teeth into the desired position.
How DAMON
R
braces work?
- Damon braces use a slide mechanism to hold the wire, which allows teeth to move more freely, quickly and comfortably.
- Traditional braces on the left are tied in with elastics, which cause friction and pressure, making treatment slower and less comfortable
Benefits of DAMON braces
- Damon braces use light high-technology shape-memory wires that move teeth faster and require fewer adjustments therefore less visits to the dentist.
- The Damon System reduces friction and improves oral hygiene by eliminating elastic ties.
- Unlike conventional braces, the Damon System uses gentle forces designed to protect the health of your teeth and gums while in treatment.
- These braces have a slide mechanism with a built-in door that attaches wires to brackets to move naturally with the teeth as they realign. This results in a comfortable pressure-free, better looking and shorter treatment that can be used by teenagers and adults usually with less need for extractions or other appliances.
Orthodontic treatment at Pointe-Claire dental
Orthodontic treatments by Dr. Mauricio Galvis DDM
Caring for your teeth with braces
Getting braces should not create a major impact in your lifestyle. Here are some important recommendations to follow to make it easier.
1
Brushing and Flossing
A rigorous oral hygiene at home is critical.
Brushing 3 times a day and flossing every night before going to bed is very important. Food particles can accumulate on the teeth and turn into plaque that can also easily build up around the edges of your braces. If you do not remove this plaque, potentially causing decay or gingivitis (gum inflammation)
Flossing with braces can be challenging, but floss threaders or orthodontic floss can help you clean between your teeth and under the wires.
Interdental brushes can also help. These are small brushes designed to clean between the wires and around the brackets, where a regular toothbrush can’t reach.
2
Make sure to keep up with regular dental checkups and cleanings
Professional dental cleanings are essential to remove any plaque or tartar that may build up around your braces. Our hygienists will provide you with tips for optimal oral health with braces during your visits. We also recommend that parents supervise their children to ensure that they follow their advice.
Regular exams also continue to be very important during your orthodontic treatment to monitor your oral health and the progress of your treatment.
3
Food and other habits
Hard, crunchy foods such as popcorn, ice, hard candy or nuts. They can break, damage or loosen your wires and brackets. When eating hard fruits and vegetables like raw carrots or apples, cut them in little pieces to protect your braces.
Chewy or sticky foods like caramel, toffee, soft candies or gum that may get caught or pull off your brackets and wires
Avoid chewing hard items that could damage your braces like ice, your nails or pens, and pencils.
4
Protect your braces and contact us
If you play sports, wear a mouthguard to protect your braces and teeth from injury.
If a bracket or wire comes loose, contact our office immediately for advice on how to handle it until you can get it fixed.