ORTHODONTICS FOR CHILDREN
Start Early, Smile Brighter
As your child grows, their smile is developing too! At Pointe-Claire dental we believe that a healthy, beautiful smile starts early.
Interceptive orthodontic care allows to guide the growth of teeth and jaw, ensuring your child’s smile is on the right track.
Interceptive Orthodontics in Pointe-Claire

Why early orthodontic care matters?
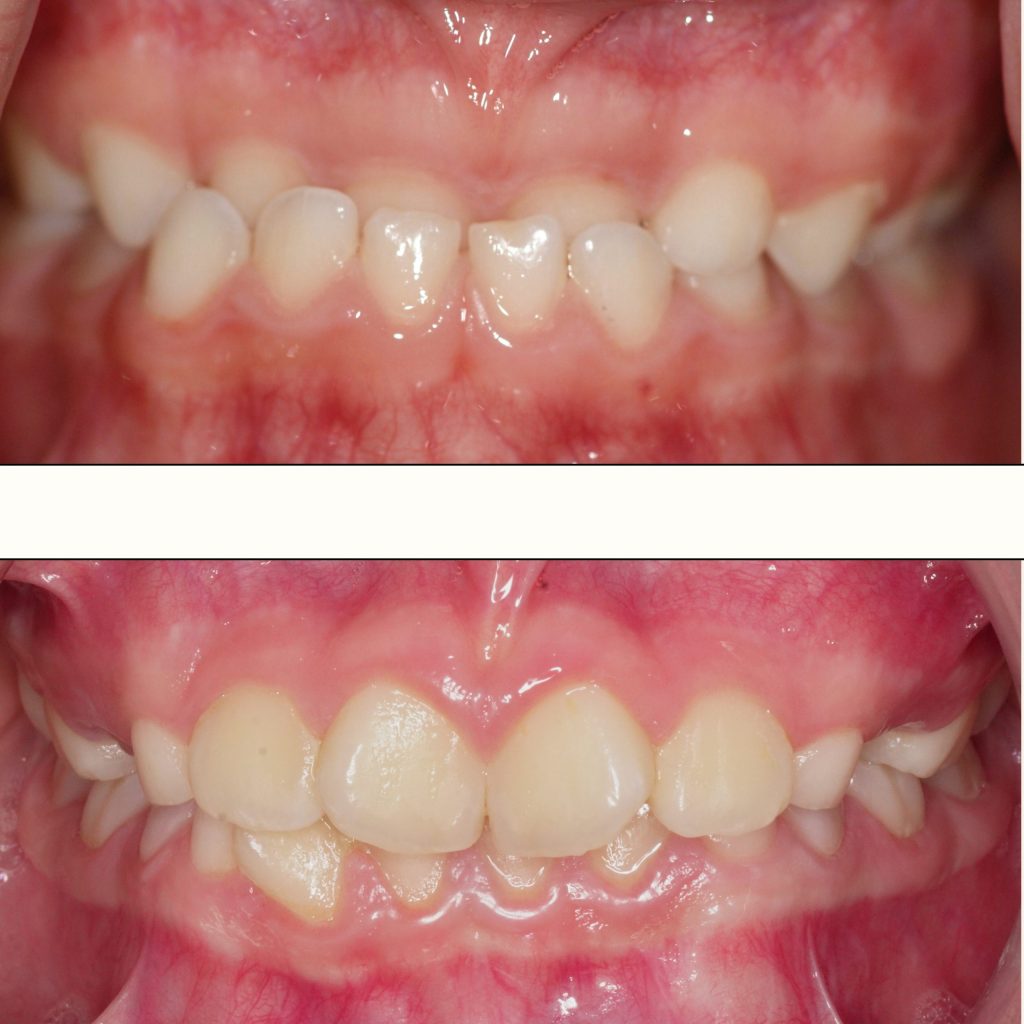
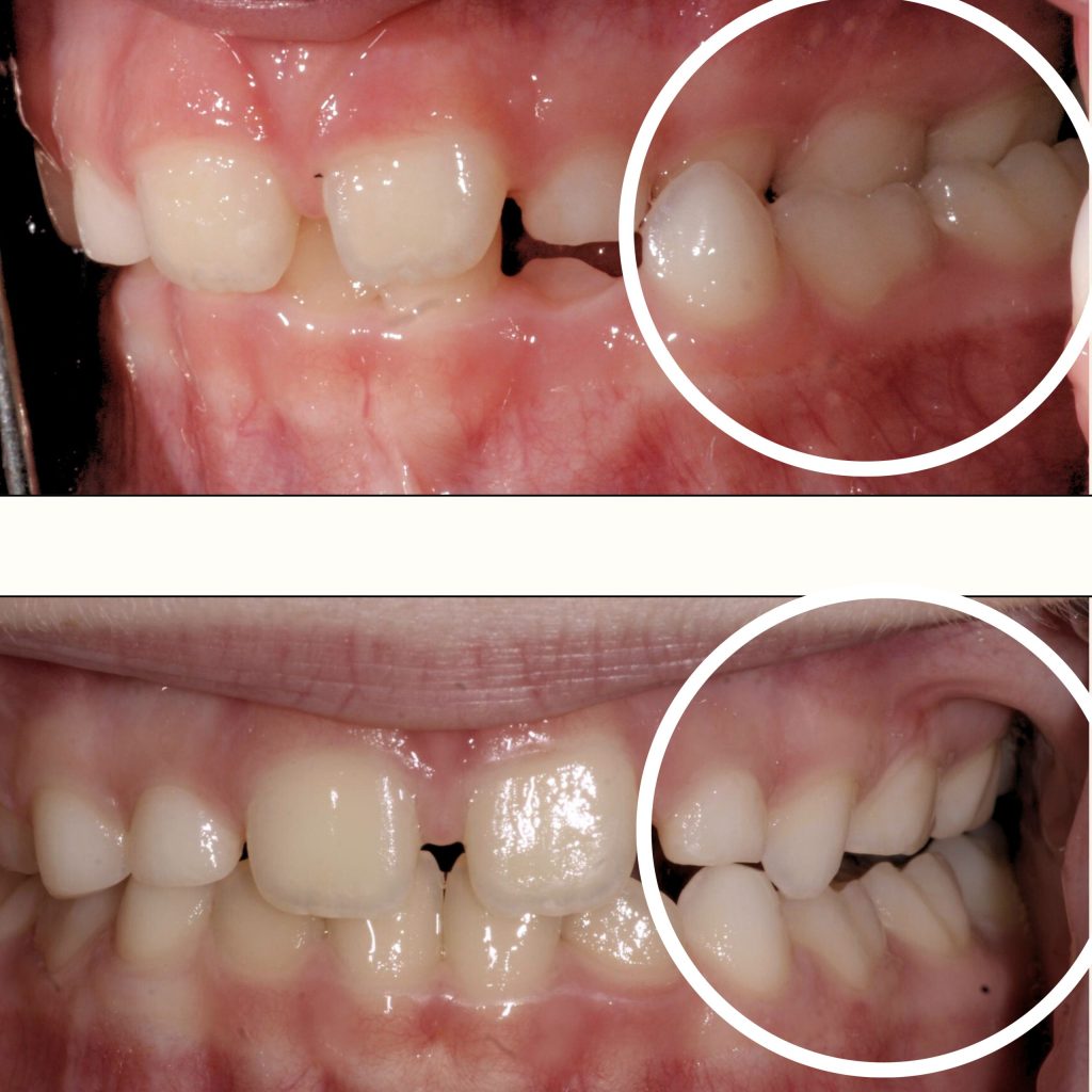
By the age of 7, your child’s teeth and jaw are at a crucial stage of development. The goal of interceptive orthodontics, also known as early orthodontic treatment or phase-one orthodontics, is to address potential issues early, guiding the development of the jaw and teeth to ensure proper alignment and spacing for incoming permanent teeth. .This can help prevent more severe misalignments that might require extensive orthodontic treatment later on.
Treatment begins while a child still has some of their primary (baby) teeth and is in the mixed dentition phase (when both baby and permanent teeth are present).
Early intervention can correct issues such as crowding, crossbites, overbites, underbites, and jaw growth discrepancies.
During regular visits Dr. Galvis monitors the development of your child’s teeth, jaw, and overall oral health, ensuring that everything is progressing normally. Kids that present any significant dental or skeletal problems may benefit from early intervention.
Signs that your child may need early orthodontic care
- Crowded or misplaced teeth
- Protruding front teeth
- Difficulty chewing or biting
- Jaw shifting when opening or closing the mouth
- Jaw shifting when opening or closing the mouth
- Mouth breathing
- Thumb-sucking beyond age 5
If you notice any of these signs, it’s a good idea to schedule an orthodontic evaluation or to discuss it with us during your child’s next preventive visit.Even if your child’s teeth appear straight, a professional assessment can detect hidden issues.
Benefits of early intervention in Orthodontics
- By addressing orthodontic issues early interceptive orthodontics can reduce the need for more complex treatments, such as tooth extractions or jaw surgery, in the future.
- It can also shorten the duration and complexity of future orthodontic treatments, leading to a more efficient process.
- Correcting bite issues and misaligned teeth can improve a child’s ability to chew, speak and breath properly.
- Early orthodontic care can help address habits like thumb-sucking or tongue thrusting that can negatively impact dental and jaw development.
- Correctly aligned teeth are easier to clean, reducing the risk of cavities, gum disease, and other oral health problems.
- Correcting jaw and teeth alignment early can also improve a child’s facial profile and overall appearance, boosting their self-confidence
- Early orthodontic intervention allows for continuous monitoring of a child’s dental and facial development, ensuring timely adjustments as needed.
If left untreated, orthodontic issues can become serious and lead to more complications as children grow. Early intervention, allows us to potentially offer less invasive treatments and prevent problems from becoming more severe in the future.
At Pointe-Claire dental, children of all ages are welcome! We use the latest techniques and technology to ensure the best possible outcomes. We’re here to support you and your child every step of the way!
What to expect during the process
1
Comprehensive evaluation
2
Customized treatment plan
3
Regular follow ups
4
Flexible financing
5
Friendly, comfortable environment and latest technology
Children orthodontic treatment at Pointe-Claire dental